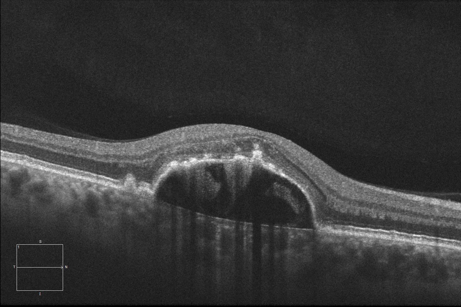
Whilst most retinal diseases are obvious on clinical examination, some diseases can be difficult to detect and in that instance OCT scans
can be useful. OCT scanning is also essential for treating the most common cause of blindness in Australia, wet macular degeneration.
For chronic, slowly progressive diseases (such as glaucoma), OCT scanning can help detect change earlier.